JP / EN

ベースゲートドック

MRI・CT などで高度検査ワンランク上の人間ドック

頭部MRI・MRA検査なし:127,600円(税込)
頭部MRI・MRA検査あり: 162,800円(税込)

健康診断や血液検査などの基本検査はもちろん、5種の腫瘍マーカー・胸腹部CT、内蔵脂肪CT・骨密度検査などの検査項目を厳選したワンランク上の人間ドックです。

こちらのコースは頭部MRI・MRA検査の「あり」・「なし」をお選びいただけます。

主な検査内容 こんな方におすすめ 所要時間
基本検査、血液検査、胃カメラ検査、乳腺超音波検査、骨密度、子宮頸部細胞診、3Dマンモグラフィ撮影、HPV、腫瘍マーカー、血圧脈波、頭部MRI・MRA検査* 頭部MRI・MRAアリを選択された方のみ
  • 生活習慣病やメタボリックシンドロームが気になる方
  • がん・生活習慣病などより早期に発見したい方
  • 40歳以上の方
  • ご家族にがんの既往歴がある方
約4~5時間半

フォロー診察・二次検査のご案内

人間ドックで気になる項目が見つかった場合も、精密検査や婦人科医師の診察など、受診後も継続的にサポートします。

ご予約・お問い合わせ

人間ドック・健康診断について、ご予約・お問い合わせはWEBで受け付けています。

主要な検査項目

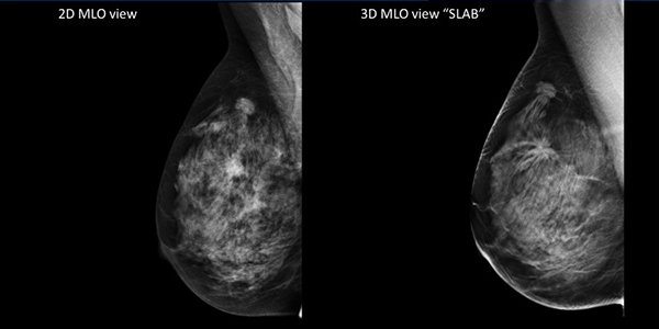
3Dマンモグラフィ撮影

3Dマンモグラフィ撮影は、乳房を多方向から撮影し、立体的な画像で乳腺の状態を確認できる検査です。
乳がんの早期発見を目的とした検査で、乳腺が密な方にも有効とされています。定期的な乳がんチェックとして安心して受けられる検査です。

HPV(ヒト・パピローマウイルス)

HPVは、子宮頸がんの主な原因とされるウイルスです。感染しても自覚症状がないことが多く、気づかないうちに長期間持続する場合があります。
HPV検査では、子宮頸部の細胞を採取し、がんの原因となる高リスク型HPVに感染しているかを調べます。将来の子宮頸がんリスクを早期に把握できるため、特に30代以降の女性や定期的なチェックを重視したい方に有効な検査です。

経膣超音波(経腟エコー)

経膣超音波検査は、細い超音波プローブを腟内に挿入し、子宮や卵巣の状態を詳しく確認する検査です。
お腹の上から行う超音波検査に比べて、子宮筋腫や卵巣の異常などをより鮮明に観察できます。痛みや不安に配慮しながら実施し、短時間で終了するため、女性特有の不調や将来の健康管理に役立つ検査です。

検査項目の詳細

<頭部MRI・MRA 検査なし>

部位・検査項目 検査項目詳細
基本検査等 問診、診察、身体計測(身長、体重、BMI、体脂肪率、腹囲、血圧)、尿検査(糖、蛋白、潜血、ウロビリノーゲン、比重、尿沈渣、pH)
血液検査 末梢血液一般、肝機能、腎機能、膵機能、電解質、代謝系(脂質)、代謝系(糖質・尿酸)、甲状腺系、炎症系、感染症、心機能、腫瘍マーカー(CEA、CA19-9、AFP、エラスターゼ1、CA125)、血液型
胸部 胸部X線直接撮影、胸部CT
腹部 上部消化管X線造影、腹部CT(上腹部~下腹部)、腹部エコー(肝臓・胆嚢・膵臓・脾臓・腎臓)
循環器 心電図検査、血圧脈波(PWV・ABI)
その他 眼底カメラ撮影、内部脂肪測定(CT)、骨密度検査DEXA法、呼吸機能検査

<頭部MRI・MRA 検査あり>

部位・検査項目 検査項目詳細
基本検査等 診察・問診、計測(身長・体重・視力・聴力・血圧・BMI・腹囲)、尿検査(糖・蛋白・潜血・ウロビリ・比重・尿沈渣)、体脂肪率、眼圧、大腸検査(便潜血2日法)
血液検査 末梢血液一般検査、循環器、肝機能検査、脂質、代謝系、腎機能、膵機能、電解質、感染症、血清学的検査、甲状腺検査、腫瘍マーカー【CEA、CA19-9、Elastesel、AFP、CA125(女性)】、その他(Ca、P、Mg、Fe)
頭部 頭部MRI/MRA(3.0テスラ)
胸部 胸部X線直接撮影、胸部CT
腹部 上部消化管X線造影、腹部CT(上腹部~下腹部)、腹部エコー(肝臓・胆嚢・膵臓・脾臓・腎臓)
循環器 心電図検査、血圧脈波(PWV・ABI)
その他 眼底カメラ撮影、内部脂肪測定(CT)、骨密度検査DEXA法、呼吸機能検査
開始時間 8時台/9時台/10時台/14時台/15時台
結果説明 当日採血結果説明(無料)
対象となる主な疾患 胃炎、胃潰瘍、十二指腸潰瘍、梅毒(性感染症)、肝機能障害(B型・C型肝炎)、萎縮性胃炎、気管支喘息、肺気腫、肺結核、肺炎、肺癌、メタボリックシンドローム、生活習慣病、胆石、膵炎、肝臓・膵臓がん、不整脈、狭心症、心筋梗塞、大腸がん、大腸ポリープ・大腸炎 など
注意事項

胃X線(胃バリウム)検査について
以下に当てはまる場合は、検査を受診いただけませんのでご注意ください。


  • 治療中のご病気で、水分制限がある(血液透析・腹膜透析中の方など)
  • バリウム製剤に対する過敏症がある
  • 腸閉塞・クローン病・憩室炎の既往、もしくは現病歴がある
  • 以前、消化管の穿孔になったことがある
  • 腹膜手術後(内視鏡下の手術・帝王切開含む)、術後12ヶ月を経過していない
  • 妊娠中・妊娠の可能性がある
  • 検査当日の血圧値が、BP180/110mmHg以上の重症高血圧症である
  • 検査当日の体重が130kg を超える方(撮影装置の安全性を保つため)

ご一緒にオプション検査はいかがですか?

その他にもオリジナルの人間ドックコースをご用意しています

ご予約・お問い合わせ

人間ドック・健康診断について、ご予約・お問い合わせはWEBで受け付けています。

よくあるご質問

人間ドックの前にお読みください。

  • 検査内容によって所要時間は異なりますが、人間ドックは約3時間、生活習慣病健診は1時間半~2時間、定期健診は約1時間が目安となります。
    なお、オプション検査を追加されている場合や当日の混雑状況によっては、所要時間が大きく前後する可能性がございますので、あらかじめご了承ください。

WEB問診・
WEB結果閲覧

人間ドック・健康診断のご予約

WEB予約

「Web予約」よりご予約ができなかった方、操作方法がご不明な方は以下の予約リクエストフォームよりお申し込みください。

予約リクエストフォーム